Voor-en-na-foto's
Gebitsproblemen omtoveren in sprankelende glimlachen

We creëren elke dag prachtige, gezonde tanden door te luisteren naar de wensen van onze patiënten, hun behoeften te analyseren en de juiste aanbevelingen te doen binnen hun budget. De tevreden, blije gezichten van onze patiënten zijn onze beste getuigenissen.
Metaal-porseleinen kronen
Uur afspraak 4-5 dagen
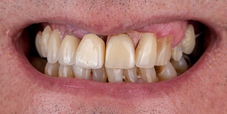
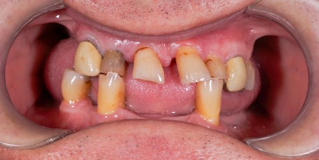
Meer over metaal-porseleinen kronenBij deze patiënt ontbraken 4 tanden en de overige tanden waren in slechte staat. Bij zijn eerste specialistische onderzoek hebben we een gedetailleerd diagnostisch consult gedaan en een behandelplan aanbevolen. Hij besloot toen de ontbrekende tanden te laten vervangen door tandheelkundige implantaten en de rest van zijn tanden zowel functioneel als cosmetisch te verbeteren door middel van metaal-porseleinen kronen.
![]()
![]()
Metaal-porseleinen kronen
Uur afspraak 4-5 dagen
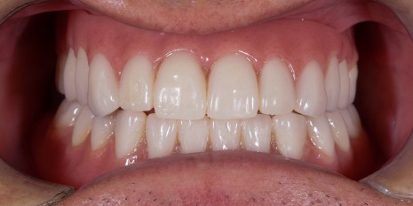
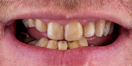
Meer over metaal-porseleinen kronenDeze patiënt had ontstoken tandvlees en problemen met bruxisme, waardoor zijn tanden aanzienlijk beschadigd waren. Na zijn specialistisch onderzoek en de nodige testen stelden we een behandelplan voor dat begon met een dieptereiniging en parodontale therapie voor al de ontstoken tanden. Vervolgens hebben we zijn tanden hersteld met metaal-porseleinen kronen voor volledige functionaliteit en esthetiek.
![]()
![]()
Volledig zirkoniumkronen
Uur afspraak 4-5 dagen
Meer informatie over volledig zirkoniumkronenDeze patiënt wilde volledige functionaliteit terugkrijgen en hun glimlach verfraaien. Na gedetailleerde tests en een gesprek met ons deskundige team, koos ze voor kronen volledig van zirkonium. Zo kon ze haar tanden een mooie, natuurlijke uitstraling geven.
![]()
![]()
Brug met tandkronen van zirkonium
Uur afspraak 4-5 dagen
Meer informatie over zirkoniumkronenDeze patiënt was ongelukkig met zijn beschadigde tanden en het uiterlijk van zijn glimlach en koos voor een ronde brug als oplossing voor beide kaken. De ronde brug is gemaakt van zirkoniumkronen, die we konden verbinden en waarmee we nieuwe rij mooie tanden voor beide kaken konden creëren.
![]()
![]()
Volledig zirkoniumkronen
Uur afspraak 4-5 dagen
Meer informatie over zirkoniumkronenDeze patiënte was niet blij met de uitlijning, kleur en vorm van haar tanden. Nadat we haar tandheelkundige situatie volledige volledig onderzocht en getest hadden, losten we de cosmetische en functionele problemen op. We plaatsten zirkoniumkronen, die snel en nauwkeurig gemaakt werden in ons tandtechnisch laboratorium. Ze kreeg haar natuurlijk mooie uitstraling terug en de glimlach die ze jarenlang had verborgen werd weer hersteld.
![]()
![]()
Boek een gratis onderzoek!
Gelieve de onderstaande velden in te vullen zodat we uw afspraak kunnen inplannen. Uw afspraak omvat een gratis onderzoek door een specialist, overleg met een tandarts, een persoonlijk behandeladvies dat aan al uw tandheelkundige behoeften voldoet en een prijsopgave die past bij uw budget.









